Clínica de Periodoncia: ética y profesionalismo en el tratamiento periodontal
Nuestro objetivo es lograr tu salud periodontal
Con 33 años de experiencia en el tratamiento periodontal, Clínica de Periodoncia se ha consolidado como una clínica de referencia en Iztapalapa, CDMX. Nos especializamos en la prevención y tratamiento de afecciones que pueden comprometer tu salud bucal, siempre con un enfoque integral que prioriza tu bienestar y la estética dental.
Atendemos casos de movilidad dental, encías que sangran o están inflamadas, pérdida de hueso, retracción o agrandamiento de encías y más. Confía en nosotros para el cuidado de tu salud dental. En Clínica de Periodoncia te garantizamos atención personalizada, resultados efectivos y una sonrisa saludable que refleja tu bienestar.


¿No has obtenido un diagnóstico y tratamiento preciso con otros dentistas? Acude con una especialista en periodoncia
Las molestias y enfermedades en dientes y encías no siempre están limitadas a la pieza dental en sí, en muchas ocasiones se tata de padecimientos que deben ser abordados desde otro ángulo, el de la salud periodontal.
En estos casos, lo mejor es acudir con una especialista en periodoncia que conozca profundamente todo lo relacionado con la salud de las encías, hueso y periodonto.
En Clínica de Periodoncia contamos con una experimentada cirujano dentista especialista en periodoncia con maestría en odontología con la capacidad de dar solución a los padecimientos de esta índole:

SOMOS EXPERTOS EN TRATAMIENTOS PERIODONTALES Y MUCHO MÁS
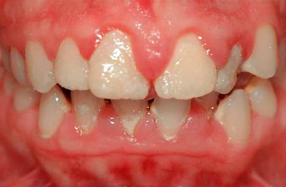
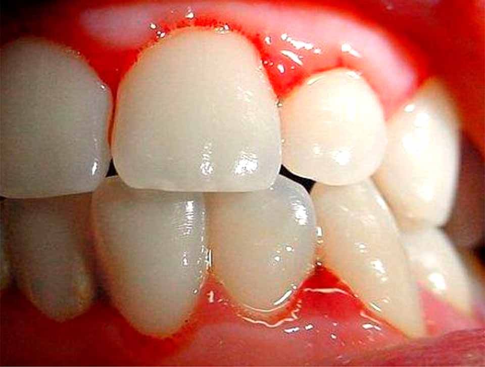
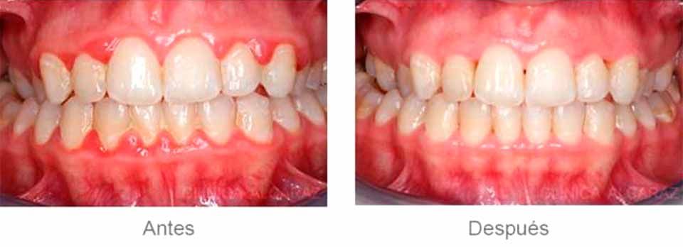
Encías inflamadas y sangrantes
Las encías inflamadas y sangrantes son un signo temprano de enfermedad periodontal. Nuestro tratamiento especializado ayuda a reducir la inflamación y prevenir problemas más graves.
Enfermedad periodontal
La enfermedad periodontal afecta los tejidos de soporte de los dientes. Con un diagnóstico temprano y tratamiento adecuado, podemos frenar su avance y proteger tu salud bucal.
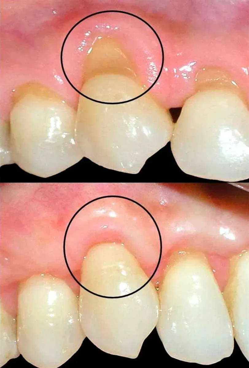
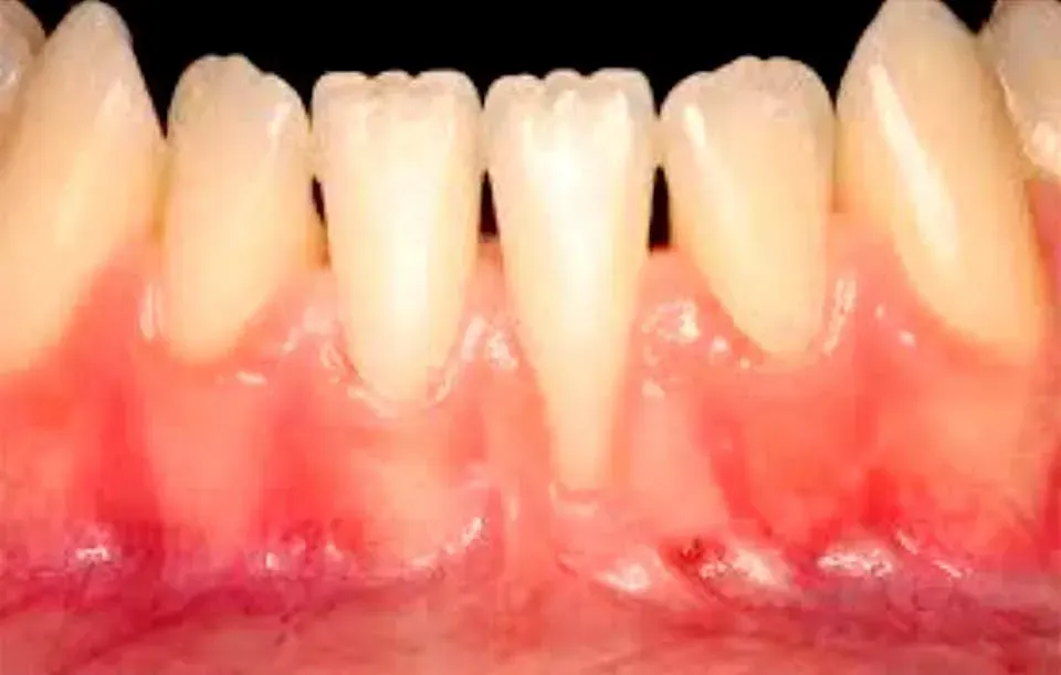
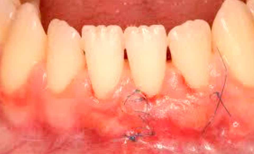
Retracción de las encías
La retracción de las encías puede exponer las raíces de los dientes, aumentando el riesgo de caries y sensibilidad dental. Ofrecemos soluciones personalizadas para corregir esta afección y restaurar tu sonrisa.
Pérdida de hueso
La pérdida de hueso en la mandíbula es una consecuencia de enfermedades periodontales avanzadas. Tratamos esta condición con técnicas avanzadas para detener la pérdida ósea y preservar la salud dental.
Movilidad dental
La movilidad dental es un signo de que las encías y huesos que soportan los dientes están comprometidos. Tratamos esta condición para evitar la pérdida de dientes y mejorar la estabilidad dental.
Mal aliento
El mal aliento crónico puede ser causado por problemas en las encías. Nuestro tratamiento especializado devuelve frescura a tu aliento y mejorar tu salud bucal.
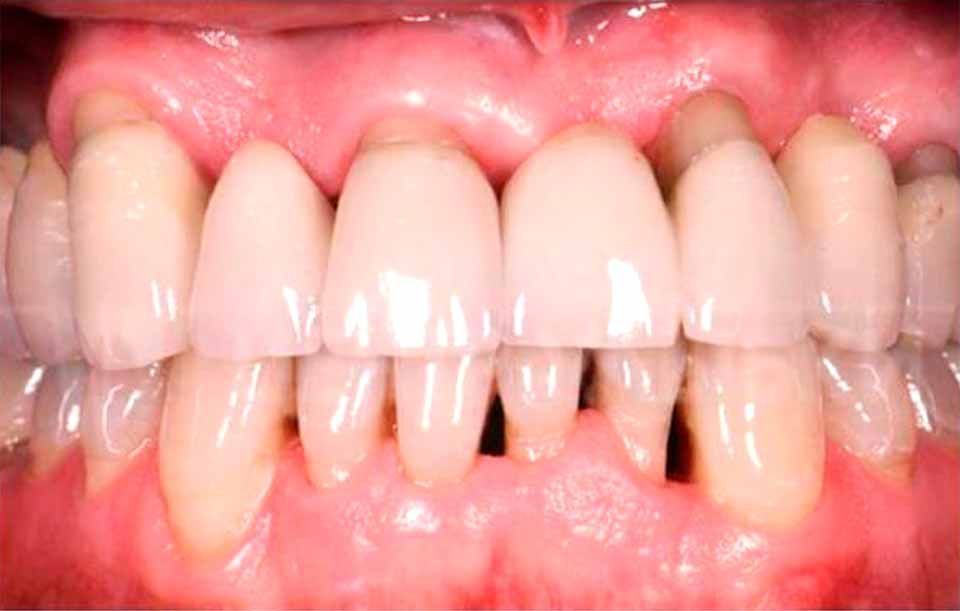
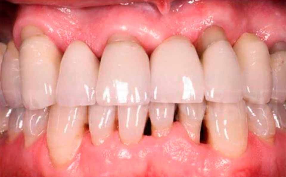
Agrandamiento de la encía
El agrandamiento de las encías puede ser un indicio de enfermedad periodontal o de la toma de ciertos medicamentos. Ofrecemos opciones de tratamiento para restaurar la salud y estética de tus encías.
Limpieza con ultrasonido
Nuestra limpieza dental con ultrasonido elimina eficazmente el sarro y la placa bacteriana, mejorando la salud de tus encías y previniendo enfermedades dentales futuras.
Implantes dentales de alta calidad
Los implantes dentales de alta calidad ofrecen una solución duradera y estética para reemplazar dientes perdidos, devolviendo funcionalidad y belleza a tu sonrisa.
Nuestro compromiso es brindarte un servicio de excelencia, utilizando tecnologías de vanguardia, materiales de alta calidad y un equipo de profesionales altamente capacitados en cada área odontológica. Además, nuestras modernas instalaciones están diseñadas para ofrecerte una experiencia cómoda y segura, asegurando que cada tratamiento se realice con la máxima precisión y efectividad.
Contacta a Clínica de Periodoncia y recibe el más completo tratamiento periodontal en Iztapalapa, CDMX
AV ERMITA IZTAPALAPA 278 401 SINATEL, IZTAPALAPA, DISTRITO FEDERAL 09470
Horario de Trabajo
- Lun - Vie
- -
- Sábado
- -
- Domingo
- Cerrado
Contáctenos
Le responderemos tan pronto como sea posible.
Inténtelo de nuevo más tarde.


































